Dra. Constanza Venegas Palacios

Sobre mí
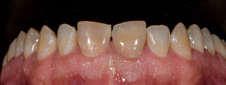
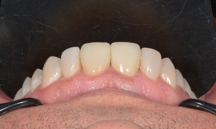
Tengo vocación en lo que hago, me gusta mucho la estética dental anterior, me agrada tratar con la gente y poder ayudar a mejorar un poco más su autoestima e imagen, me gusta estar en constante aprendizaje y siempre intento dar lo mejor de mí en lo que hago.

Servicios ✨

Identidad Verificada
Documento de identidad & RUT
Antecedentes verificados

De Concepción

1 empleado

3 años de experiencia

Redes sociales

Imágenes & Videos

4 imágenes

Imagen 0 de servicio
Imagen 1 de servicio
Imagen 2 de servicio
Imagen 3 de servicio
1 / 4

Opiniones

Preguntas y Respuestas

¿Cuál es tu proceso típico para trabajar con un cliente?
Conversar con el paciente para saber sus expectativas y deseos, realizar toma de registros fotográficos e impresiones que nos puedan ayudar a planificar mejor el caso y ahí darle el curso que el paciente espera, en base a fundamentos sólidos y recomendaciones de especialistas en el área.
¿Qué educación o entrenamiento tienes con respecto al trabajo que realizas?
Tengo una formación solida en estética dental anterior, diseño de sonrisa, actualización en materiales dentales, manejo de sistemas CAD/CAM y flujo digital.
¿Tienes alguna forma estándar para cobrarle a los clientes, si es así, cuál?
Efectivo o transferencia, con % de abono previo a la sesión.
¿Cómo empezaste a hacer este tipo de trabajo?
Formación académica como cirujana dentista en la Universidad de Concepción, Chile.
¿Con qué tipo de clientes has trabajado?
He trabajado con pacientes que se atienden dentro de servicios de salud públicos como privados.
¿Qué consejo le darías a un cliente que quiere contratar a alguien en tu área de trabajo?
Que verifique siempre que se encuentre dentro del registro de prestadores de salud para verificar y acreditar su formación profesional, que tenga claro sus objetivos de tratamiento, que cosas desea mejorar y cuál es su presupuesto y que finalmente siempre comunique cómo se siente o se ha sentido con el servicio ya que es importante que el paciente se encuentre a gusto con el profesional, que exista confianza y buena comunicación, con información clara.
¿Qué debería tener claro el cliente antes de contratar a un profesional como tú?
Debe tener claro que es lo que desea modificar en su salud bucal, ser paciente a la hora de planificar su tratamiento, ya que requerirá de una correcta evaluación, radiografías y fotografías clínicas que nos permiten visualizar mejor cada caso y así poder resolverlo mutuamente en función a las expectativas del paciente.

Ubicación principal

Ubicación mapa
Concepción, Región del Biobío, Chile
Abrir en mapa
¿No es lo que estas buscando?

No hay problema: tenemos a más profesionales.