Camila Espinoza Alquinta

Sobre mí
Mi nombre es Camila Espinoza Alquinta, soy odontóloga y me dedico a la atención dental integral de niños y adultos. Además cuento con conocimientos en el área de armonización facial y en constante estudio y aprendizaje. Mi enfoque al momento de realizar un tratamiento es escuchar y ayudar al paciente según las necesidades que presente y buscar tratamientos en conjunto que puedan cumplir sus expectativas con soluciones que mejoren su salud oral y que podamos mantener un estado de bienestar al largo plazo. Me gusta mantener el constante contacto con mis pacientes y resolver todas las dudas e inquietudes que pueda presentar, por lo que estaré siempre atenta a sus requerimientos.
Identidad Verificada
Documento de identidad & RUT
Antecedentes verificados

De Providencia

1 empleado

32 años de experiencia

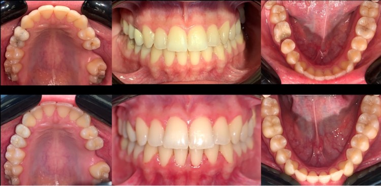
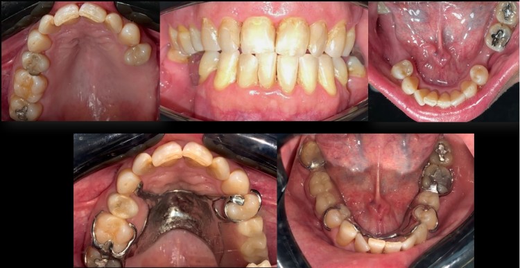
Imágenes & Videos

6 imágenes

Imagen 0 de servicio
Imagen 1 de servicio
Imagen 2 de servicio
Imagen 3 de servicio
Imagen 4 de servicio
Imagen 5 de servicio
1 / 6

Opiniones

Preguntas y Respuestas

¿Cuál es tu proceso típico para trabajar con un cliente?
En primer lugar realizo una evaluación, en donde no solo observo clínicamente al paciente, si no que me gusta conversar con el y conocerlo, para que podamos llegar a tratamientos integrales y que cumplan con sus expectativas y las mías.
¿Qué educación o entrenamiento tienes con respecto al trabajo que realizas?
Soy cirujana dentista titulada de la Universidad del Desarrollo, además estoy en constante estudio y entrenamiento en las diferentes áreas a las que me dedico.
¿Tienes alguna forma estándar para cobrarle a los clientes, si es así, cuál?
No tengo una forma estándar para cobrarle a los pacientes, ya que todo dependerá de las necesidad que este tenga y su estado de salud.
¿Cómo empezaste a hacer este tipo de trabajo?
Comencé en la universidad en los primeros años de atención de pacientes.
¿Con qué tipo de clientes has trabajado?
He trabajado con pacientes de diferentes edades y con distintos requerimientos, contando con mayor experiencia en pacientes adultos y adultos mayores
¿Qué consejo le darías a un cliente que quiere contratar a alguien en tu área de trabajo?
Que verifique su titulo profesional en la Superintendencia de Salud (SIS)
¿Qué debería tener claro el cliente antes de contratar a un profesional como tú?
Como es la modalidad de atención y cuales son las patologías que padece. Es importante entender el diagnóstico y el tratamiento en todas las etapas
¿No es lo que estas buscando?

No hay problema: tenemos a más profesionales.